1 февраля
-
17:09
Зомби-апокалипсис The Last of Us: возможно ли такое будущее в реальном мире
Кейсы
-
15:47
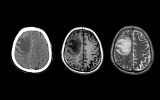
Выяснилось, что происходит с мозгом при ожирении
Наука
-
15:13
Опубликована карта всей материи Вселенной: ученых удивила «космическая нестыковка»
Космос
-
14:45
Два фото Земли с разницей в 50 лет сравнили в НАСА: что нашли ученые
Космос
-
14:20
Поверхность Марса показали в самом высоком разрешении
Космос
-
13:07
ИИ засек 8 сигналов из космоса. Возможно, они от инопланетян, но люди их пропустили
Космос
-
12:36
Очень редкое явление появилось в небе за Полярным кругом
Наука
31 января
-
12:08
«Хаббл» показал огненную туманность Душа: там рождаются протозвезды
Космос
-
11:42
НАСА показало последствия столкновения трех скоплений галактик
Космос
-
11:04
ИИ спрогнозировал судьбу человечества через 10 лет
Наука
-
10:47
Кишечная палочка оказалась более необычным организмом, чем считалось ранее
Наука
-
10:25
Ученые придумали, как сделать обычный кофе полезнее для здоровья
Наука
-
9:52
Посмотрите на встречу Марса и Луны: Красная планета «выглядывает» из-за нее
Космос
-
9:24
Ученые нашли странные организмы, которые «скрывались» на острове-вулкане
Наука
-
9:03
Странная «инопланетная» комета сегодня приблизится к Солнцу
Космос
28 января
-
22:16
«Хаббл» показал две звезды в бурной стадии роста
Космос
-
20:58
Марсоход прислал новое видео-селфи с Красной планеты
Космос
-
20:33
Ученые нашли космическую «черную вдову»
Космос
-
20:07
Команда MIT разработала винты, которые делают любой дрон бесшумным
Новости
-
19:21
Посмотрите на испытания самого мощного ракетного двигателя НАСА
Новости